Chỉ có thể là cổ tích, một đứa trẻ được cứu khỏi bệnh viêm màng não đặc biệt: Mẹ bé khóc, bác sĩ cũng khóc
Trong thế giới y khoa đầy những bất ngờ và thử thách, đôi khi một câu chuyện lại mang dáng dấp của một câu chuyện cổ tích – nơi mà hy vọng lóe lên từ bóng tối, và sự kiên trì cùng kiến thức cứu sống một sinh mạng.

Đây là câu chuyện được BS Trúc Phan (BV Đa khoa quốc tế Vinmec) về một cậu bé 11 tuổi đã đối mặt với một hành trình bệnh tật kéo dài nửa năm, từ những dấu hiệu mơ hồ đến một cuộc chiến sinh tử với căn bệnh viêm màng não đặc biệt. Và ở cuối con đường ấy, không chỉ là sự hồi phục kỳ diệu, mà còn là những giọt nước mắt xúc động từ người mẹ và chính vị bác sĩ đã đồng hành.

Ảnh BS Trúc Phan chia sẻ
Bắt đầu từ những dấu hiệu nhỏ đến một phát hiện lớn
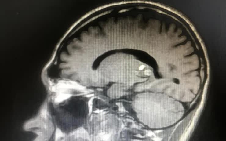
Hãy tưởng tượng một cậu bé 11 tuổi, đang ở độ tuổi hiếu động và khám phá thế giới, đột nhiên bắt đầu gặp khó khăn với thị lực. Ban đầu chỉ là nhìn mờ, rồi dần dần, tay phải viết lóng ngóng, chân phải bước đi không vững. Tình trạng xấu đi nhanh chóng khiến gia đình lo lắng đưa bé đến bệnh viện. Sau các xét nghiệm kỹ lưỡng, các bác sĩ phát hiện ra thủ phạm là một khối u đang chảy máu (gọi là cavernoma) nằm ở tiểu não – phần não chịu trách nhiệm kiểm soát sự cân bằng và phối hợp động tác. Đây không phải là một căn bệnh thông thường, mà là một thử thách đòi hỏi sự can thiệp nhanh chóng và chính xác.
Sau hội chẩn kỹ lưỡng, đội ngũ y bác sĩ quyết định phẫu thuật. Cuộc mổ phức tạp, nhưng kết quả ban đầu khiến mọi người thở phào: Ngay sau khi tỉnh dậy, bé đã phục hồi gần như lập tức. Thị lực rõ ràng hơn, tay chân linh hoạt trở lại. Niềm vui lan tỏa khắp phòng bệnh – một kết thúc đẹp như mơ cho một câu chuyện cổ tích. Nhưng cuộc sống, đặc biệt là trong y khoa, thường có những khúc ngoặt bất ngờ.
Biến chứng bất ngờ: Cơn sốt dai dẳng và cuộc chiến với viêm màng não
Chỉ ba ngày sau phẫu thuật, bé bắt đầu sốt cao. Những cơn sốt liên tục, khó hạ, khiến các bác sĩ nhanh chóng xác định đây là viêm màng não – tình trạng nhiễm trùng lớp màng bảo vệ não và tủy sống. Đây là một biến chứng nghiêm trọng, có thể đe dọa tính mạng nếu không kiểm soát kịp thời.

Khối u ở não. Ảnh minh họa
Các bác sĩ đã thử mọi loại kháng sinh kinh nghiệm, thay đổi nhiều vòng, nhưng không có dấu hiệu cải thiện. Bé phải chọc dịch não tủy hàng chục lần để kiểm tra, mời hội chẩn từ nhiều chuyên khoa, nhưng vẫn không tìm ra tác nhân gây bệnh. Cuối cùng, chỉ có dexamethasone – một loại corticoid mạnh, có khả năng thấm qua hàng rào máu não – mới tạm thời kiểm soát được cơn sốt.
Thế nhưng, việc phụ thuộc vào dexamethasone liều cao kéo dài hơn 5 tháng là một "thảm họa" đối với trẻ em. Thuốc này có thể gây ra nhiều tác dụng phụ nghiêm trọng như suy giảm miễn dịch, loãng xương, hay rối loạn tăng trưởng. Gia đình và các bác sĩ tuyến đầu ở phía Bắc rơi vào bế tắc, và họ quyết định kết nối với một chuyên gia ở xa – vị bác sĩ mà chúng ta đang kể chuyện này.
Áp dụng "nguyên lý tìm kiếm bệnh hiếm": Từ nghi ngờ đến chẩn đoán đột phá
BS Trúc Phan đã áp dụng cách tiếp cận logic, dựa trên nguyên lý chẩn đoán bệnh hiếm: Phân tích diễn tiến bệnh để tìm ra mối liên hệ cốt lõi. Đầu tiên, anh chắc chắn rằng viêm màng não phải liên quan trực tiếp đến cuộc phẫu thuật gần đây. Với thời gian phát bệnh chỉ 3 ngày sau mổ – một khoảng thời gian quá ngắn để các yếu tố như tự miễn hay khối u mới phát triển – thủ phạm chỉ có thể là vi sinh vật.
Loại trừ vi khuẩn vì kháng sinh mạnh đã thất bại, anh hướng nghi ngờ sang virus. Nhưng các xét nghiệm virus thông thường đều âm tính. Liệu có thể virus ở nồng độ thấp, dưới ngưỡng phát hiện, vẫn gây bệnh? Câu trả lời nằm trong y văn: Một dạng viêm màng não đặc biệt gọi là Mollaret meningitis, hay còn gọi là viêm màng não tái phát lành tính. Đây là tình trạng gây sốt và viêm dai dẳng theo đợt, nhưng thường không để lại di chứng – phù hợp với trường hợp bé vẫn khỏe mạnh sau nhiều tháng bệnh.

Ảnh minh họa
Phần lớn trường hợp Mollaret liên quan đến virus HSV type 2 (herpes simplex virus loại 2). Một chi tiết quan trọng: trong dịch não tủy, các tế bào viêm không phải lympho (thường thấy ở viêm virus) mà giống như tế bào mono hoạt hóa đặc hiệu (tế bào Mollaret). Các bác sĩ ban đầu có thể đã nhầm lẫn đây là viêm màng não vi khuẩn, dẫn đến điều trị sai hướng.
Dựa trên phân tích này, BS Trúc Phan đề xuất dùng thuốc kháng virus dạng uống đơn giản. Chỉ sau 5 ngày, bé cắt sốt hoàn toàn mà không cần corticoid nữa. Từ đó đến nay, hơn 3 tuần trôi qua mà không tái phát – một bước ngoặt lớn sau nửa năm kinh hoàng.
Gần đây, mẹ bé đưa con vào Sài Gòn để kiểm tra thêm vì vẫn còn đau đầu và nôn. May mắn, vị bác sĩ phát hiện thêm viêm dây thần kinh, đặc biệt dây số V (dây thần kinh mặt), và điều trị kịp thời bằng thuốc. Các triệu chứng biến mất, và dù cơ thể cần thời gian để khắc phục tổn thương cũ, có thể khẳng định: chúng ta đã chiến thắng!
Bài học từ nước mắt: Sự cởi mở, niềm tin và sức mạnh của y khoa
Câu chuyện này không chỉ là về một chẩn đoán chính xác, mà còn về sự hợp tác. Nếu không có sự cởi mở từ đồng nghiệp phía Bắc, niềm tin từ gia đình, và quyết đoán từ vị bác sĩ, có lẽ kết thúc đã khác. Mẹ bé khóc vì hạnh phúc và bác sĩ cũng khóc theo – những giọt nước mắt của lòng biết ơn và xúc động trước sức sống kỳ diệu của một đứa trẻ.
Trong y khoa, không phải lúc nào cũng có "phép màu", nhưng với kiến thức, sự kiên trì và tinh thần đồng đội, chúng ta có thể biến những câu chuyện bi kịch thành cổ tích. Nếu bạn hoặc người thân gặp vấn đề sức khỏe lạ, hãy nhớ: đừng bỏ cuộc, vì đôi khi giải pháp nằm ở một góc nhìn mới mẻ.