
Cắn 1 quả táo nguyên mỗi ngày, 3 tháng bé gái khỏi hẳn bệnh
Bé gái này bị ngáy, mặt lệch vì ăn quá mềm, bác sĩ nha khoa chỉ một mẹo đơn giản, 3 tháng lành hẳn.

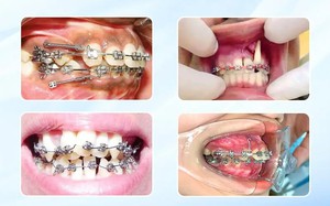
Niềng răng hỏng: Nguy cơ tiềm ẩn đằng sau lựa chọn "giá rẻ"
Nhiều người chọn niềng răng giá rẻ để tiết kiệm, nhưng thực tế ghi nhận nhiều ca thất bại do cơ sở kém uy tín, bác sĩ thiếu chuyên môn hoặc khí cụ chất lượng thấp. Hậu quả không chỉ ảnh hưởng thẩm mỹ mà còn gây tổn hại lâu dài đến chức năng ăn nhai và sức khỏe răng miệng.

Bé gái 8 tuổi răng hô, môi trên vểnh, cằm nhỏ, trí tuệ giảm vì một thói quen xấu khi ngủ
Nhiều phụ huynh đưa con đến khám vì các vấn đề phát triển vùng mặt như răng hô, cằm lẹm, móm ngược… Nguyên nhân bắt nguồn từ nguyên nhân nhiều trẻ gặp phải.

Mới 20 tuổi đã phải "hối hận" vì răng bị hủy hoại: Hóa ra thủ phạm là thức uống "ngon miệng", BS nói còn uống nữa sẽ viêm tủy răng
Bác sĩ cảnh báo nếu Linh tiếp tục duy trì thói quen ăn uống này, tình trạng sâu răng có thể tiến triển nặng hơn, thậm chí dẫn đến viêm tủy răng.

"Thiên tài toán học" Trung Quốc xuất hiện với ngoại hình khác lạ!
Mới đây, ngoại hình gây sốc của "thiên tài toán học" Đại học Bắc Kinh (Trung Quốc) trở thành chủ đề tìm kiếm nóng hổi tại quốc gia tỉ dân.

Để có 20 chiếc răng khỏe mạnh ngay cả khi ở tuổi 80, bác sĩ khuyến cáo cần làm được 3 việc từ khi còn trẻ
Bạn có muốn sở hữu hàm răng chắc khỏe kể cả khi bước sang tuổi 80? Bài viết này sẽ chia sẻ những bí quyết chăm sóc răng miệng khoa học, giúp bạn duy trì sức khỏe răng miệng cho tới già.
Chuyên đề về Sống khỏe mạnh, sống thọ
Chuyên về về chăm sóc răng miệng, niềng răng thẩm mỹ
Chuyên đề nội dung về tất cả các kiến thức liên quan đến niềng răng
Chuyên đề về Sức khỏe sinh sản, hiếm muộn và IVF
Chuyên đề nội dung về Bệnh theo mùa
Chuyên đề Khỏe toàn diện cùng Gen Well
Chuyên đề nội dung về ý nghĩa, phương pháp, cách thức để xây dựng thói quen sống xanh
Chuyên đề nội dung về cuộc sống bác sĩ
Chuyên đề nội dung về béo phì, giảm cân, giữ dáng
Chuyên đề nội dung về Sức khỏe ngày Tết
Chuyên đề nội dung về Sức khỏe tuổi 35+
Chuyên đề nội dung về vô sinh hiếm muộn, sức khỏe sản khoa
Chuyên đề nội dung liên quan đến Dậy thì ở trẻ, mối quan hệ giữa cha mẹ - con cái
Chuyên đề nội dung về bệnh ung thư
Chuyên đề nội dung về Covid-19
Chuyên đề nội dung về Sức khỏe công sở
Chuyên đề nội dung về Sức khỏe sinh sản
Chuyên đề nội dung về sức khỏe hô hấp
Chuyên đề nội dung về Bệnh tiểu đường
Chuyên đề nội dung về sức khỏe người cao tuổi