Đau đầu dai dẳng, nam sinh 19 tuổi đến viện mới biết bị ung thư
Nam sinh 19 tuổi liên tục đau đầu vùng trán, chóng mặt, mệt mỏi kéo dài và bất ngờ được chẩn đoán mắc u nguyên bào thần kinh hiếm gặp ở người trưởng thành.
Từ tháng 3/2025, nam thanh niên 19 tuổi, trú tại Phú Thọ thấy đau âm ỉ vùng trán, mức độ tăng dần theo thời gian, đôi khi kèm theo những cơn đau nhói lan tỏa. Đồng thời, anh cảm thấy mệt mỏi kéo dài, hoa mắt, chóng mặt ngày càng nặng.
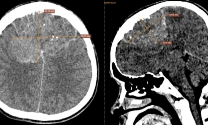
Sau khi đi khám tại cơ sở y tế địa phương, anh được chỉ định chụp CT sọ não không tiêm thuốc cản quang. Kết quả chụp cho thấy một khối bất thường vùng trán sát bản xương sọ, có dạng mô mềm, bờ không đều, ranh giới rõ ràng nhưng kèm phù não nhẹ. Bên trong khối u xuất hiện nhiều nốt vôi hóa và ổ hoại tử, kích thước lên tới 80 x 65 x 55 mm.
Hình ảnh được gửi hội chẩn với trung tâm chẩn đoán hình ảnh, hệ thống y tế Medlatec. Tại đây, các bác sĩ nhận định nhiều khả năng là u màng não có dấu hiệu chuyển dạng ác tính, xâm lấn xương trán và nhu mô não trán - đỉnh phải.
Bệnh nhân được chuyển tuyến phẫu thuật và sinh thiết khối u. Kết quả mô bệnh học và hóa mô miễn dịch xác định đây là u nguyên bào thần kinh (Neuroblastoma) – một dạng ung thư ác tính rất hiếm gặp ở người lớn.

Hình ảnh chụp cắt lớp vi tính sọ não không tiêm thuốc cản quang của bệnh nhân phát hiện tổn thương.
Theo bác sĩ Trần Thị Thu, Trung tâm Chẩn đoán hình ảnh Medlatec, u nguyên bào thần kinh là dạng ung thư phát triển từ các tế bào thần kinh chưa trưởng thành, thường xuất hiện ở hệ thần kinh giao cảm. Đây là một trong ba loại ung thư phổ biến nhất ở trẻ em, chỉ sau bệnh bạch cầu cấp và các khối u ác tính trong hệ thần kinh trung ương.
Thống kê cho thấy, 95% ca bệnh được phát hiện trước 10 tuổi, tuổi trung bình là 22 tháng. Trường hợp như bệnh nhân ở độ tuổi 19 là vô cùng hy hữu.
Theo bác sĩ Thu, tiên lượng bệnh phụ thuộc vào nhiều yếu tố như tuổi chẩn đoán, giai đoạn phát hiện, vị trí khối u và các đặc điểm sinh học phân tử. Nếu phát hiện sớm và được phẫu thuật triệt để, tỷ lệ sống sau 5 năm có thể lên đến 85%.
Trường hợp bệnh nhân trên là minh chứng rõ ràng cho vai trò quan trọng của chẩn đoán hình ảnh hiện đại và sự phối hợp kịp thời giữa các cơ sở y tế.
Để phòng tránh những rủi ro do u nguyên bào thần kinh và các bệnh lý nguy hiểm khác, bác sĩ khuyến cáo người dân: Không chủ quan với các triệu chứng bất thường như đau đầu kéo dài, mệt mỏi, chóng mặt, sụt cân không rõ nguyên nhân, hay xuất hiện khối u bất thường ở bụng, ngực, cổ.
Duy trì lối sống lành mạnh, ăn uống đủ chất, nghỉ ngơi hợp lý và vận động vừa sức. Khám sức khỏe định kỳ, đặc biệt với trẻ nhỏ hoặc người có tiền sử gia đình mắc các hội chứng di truyền liên quan.