Kasim Hoàng Vũ qua đời vì 1 căn bệnh dễ bị bỏ qua: Triệu chứng ban đầu mờ nhạt, những ai cần đặc biệt cảnh giác?
Kasim Hoàng Vũ qua đời tại Mỹ ở tuổi 46, sau thời gian chống bạo bệnh đang trở thành tâm điểm dư luận.
Theo đó, Kasim Hoàng Vũ từng trải qua ca mổ khớp xương hàm và cổ, khiến gương mặt lệch, một phần cằm biến dạng. Anh chỉ ăn được thức ăn mềm, hạn chế hoạt động cơ hàm nên sụt cân.
Năm 2024, anh bị tái phát bệnh, phải mổ lần hai. Lúc đó, ca sĩ Tuấn Hiền - một đồng nghiệp của anh - cho biết sức khỏe anh rất yếu, mệt mỏi, không ăn uống và ngủ được. Nhiều đồng nghiệp như Nguyễn Hồng Nhung, Phùng Ngọc Huy lên kế hoạch làm đêm nhạc ủng hộ ca sĩ chữa bệnh.

Hình ảnh của Kasim Hoàng Vũ khi mắc bệnh nặng, gương mặt biến dạng khó nhận ra
U xương hàm là tình trạng xuất hiện khối u phát triển bất thường trong xương hàm trên hoặc hàm dưới, có thể là u lành tính hoặc ác tính. Bệnh không phổ biến như sâu răng hay viêm nha chu nhưng lại âm thầm và dễ bị bỏ qua vì triệu chứng ban đầu khá mờ nhạt. Nguyên nhân gây u xương hàm rất đa dạng. Một số trường hợp liên quan đến rối loạn phát triển mô răng, u nguyên bào men, u xương lành tính. Trường hợp ác tính có thể là ung thư xương nguyên phát hoặc ung thư từ cơ quan khác di căn đến xương hàm. Ngoài ra, tiền sử viêm nhiễm răng miệng kéo dài, chấn thương vùng hàm mặt, tiếp xúc tia xạ, yếu tố di truyền hoặc đột biến gen cũng được xem là yếu tố nguy cơ.
Tác động của u xương hàm lên sức khỏe không chỉ dừng ở vấn đề thẩm mỹ. Khi khối u phát triển, người bệnh có thể thấy sưng nề vùng má hoặc lợi, đau âm ỉ, tê môi cằm, răng lung lay không rõ nguyên nhân, khó nhai hoặc há miệng hạn chế. Nếu là u ác tính, khối u có xu hướng xâm lấn nhanh, phá hủy cấu trúc xương, lan vào xoang hàm, hốc mắt hoặc nền sọ. Điều này có thể gây biến dạng khuôn mặt, suy giảm chức năng ăn nhai, nói chuyện và ảnh hưởng nghiêm trọng đến tâm lý người bệnh.

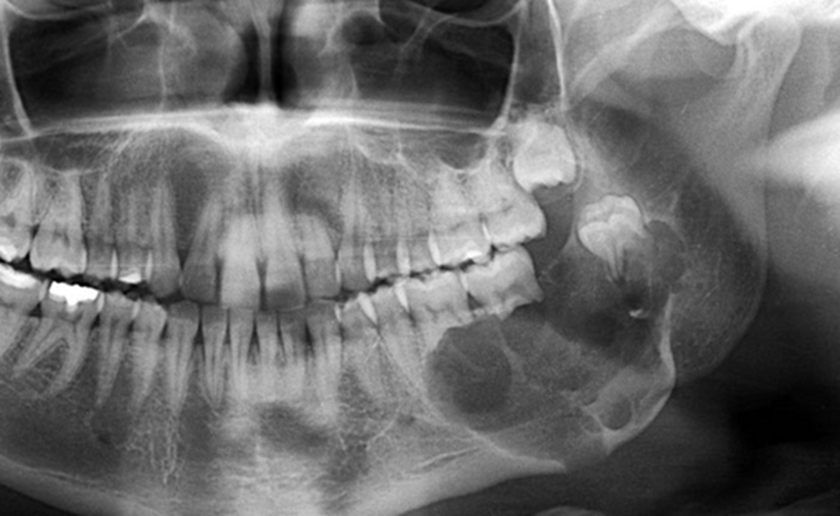
Hình X-quang chẩn đoán ung thư xương hàm
Biến chứng nguy hiểm nhất là nhiễm trùng lan rộng, gãy xương hàm bệnh lý do xương bị phá hủy, và đặc biệt là di căn xa nếu khối u mang tính chất ung thư. Ung thư xương hàm có thể lan tới phổi, gan hoặc hạch bạch huyết. Khi bệnh được phát hiện muộn, việc điều trị trở nên phức tạp, phải kết hợp phẫu thuật cắt bỏ rộng, xạ trị hoặc hóa trị. Tỷ lệ tử vong phụ thuộc vào loại mô bệnh học và giai đoạn phát hiện. Với u lành tính, tiên lượng thường tốt nếu được phẫu thuật triệt để. Ngược lại, với ung thư xương hàm giai đoạn muộn, nguy cơ tử vong tăng cao do di căn và suy kiệt toàn thân.
Những người có nguy cơ cao cần đặc biệt cảnh giác gồm người có tiền sử u răng, viêm xương hàm mạn tính, người từng xạ trị vùng đầu cổ, người hút thuốc lá lâu năm, lạm dụng rượu bia, hoặc có người thân mắc ung thư vùng hàm mặt. Trẻ em và thanh thiếu niên đôi khi cũng có thể mắc một số loại u xương đặc biệt liên quan đến tăng trưởng.
Để phòng ngừa, điều quan trọng là duy trì vệ sinh răng miệng tốt, khám nha khoa định kỳ 6 tháng một lần để phát hiện sớm bất thường. Khi thấy dấu hiệu như sưng kéo dài trên hai tuần, đau không rõ nguyên nhân, tê môi cằm, răng tự nhiên lung lay, cần đi khám chuyên khoa răng hàm mặt hoặc ung bướu sớm. Hạn chế thuốc lá, rượu bia, tăng cường dinh dưỡng và điều trị triệt để các bệnh viêm nhiễm răng miệng cũng góp phần giảm nguy cơ. U xương hàm không phải lúc nào cũng nguy hiểm đến tính mạng, nhưng sự chủ quan có thể khiến một bệnh lý có thể kiểm soát trở thành mối đe dọa nghiêm trọng đối với sức khỏe và chất lượng sống.