Lời giải sau 5 năm chạy chữa u xơ tử cung
Suốt nhiều năm lo sợ phải phẫu thuật, chị Vân cố gắng điều trị bằng nhiều cách khác nhau nhưng khối u xơ tử cung vẫn ngày càng lớn. Cuối cùng, chị quyết định thực hiện phẫu thuật nội soi tại BVĐK Hồng Ngọc và đã xử lý được dứt điểm căn bệnh kéo dài 5 năm.

Chỉ khi đến BVĐK Hồng Ngọc Phúc Trường Minh, chị Vân mới được giải thoát khỏi khối u xơ tử cung đã đeo bám suốt 5 năm.
5 năm tìm đủ mọi cách thoát khỏi căn bệnh dai dẳng
Sau khi phát hiện bệnh, với tâm lý "có bệnh thì vái tứ phương", chị Lê Vân (43 tuổi, Hà Nội) đã nghe nhiều lời mách và áp dụng những bài thuốc dân gian với mong muốn khối u xơ tử cung teo nhỏ dần. "Cứ nghe người ta mách ở đâu có bài thuốc hay là tôi không quản công sức, tiền bạc tìm đến", chị Vân chia sẻ.
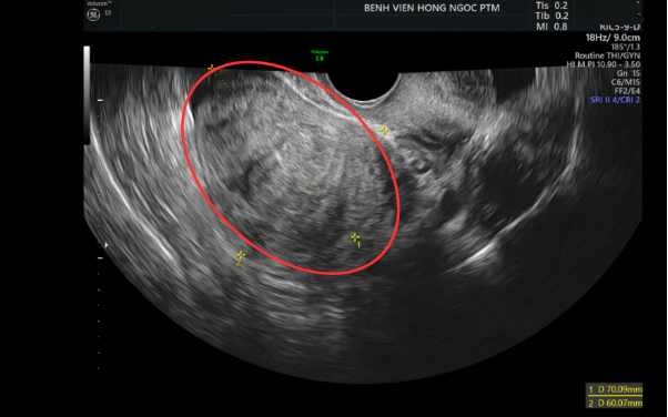
Thế nhưng, suốt 5 năm miệt mài chạy chữa, bệnh vẫn không thuyên giảm. Gần đây, chị thường xuyên cảm nhận rõ khối u nổi ở vùng bụng dưới, kèm cảm giác chướng bụng và đau âm ỉ. Kết quả siêu âm cho thấy khối u đã đạt kích thước hơn 7cm, chiếm gần nửa tử cung, song chị vẫn chần chừ chưa phẫu thuật vì lo ngại "dao kéo" ảnh hưởng đến sức khỏe.

Hình ảnh siêu âm khối u xơ kích thước hơn 7cm làm biến dạng tử cung.
Sau khi tìm hiểu và được tư vấn, chị Vân quyết định tìm đến BVĐK Hồng Ngọc Phúc Trường Minh. Tại đây, sau khi khám và siêu âm, các bác sĩ xác định khối u xơ tử cung kích thước 60x70mm ở vị trí FIGO L6, cùng khối u nhỏ khoảng 15mm ở mặt sau gây biến dạng tử cung. "Với kích thước và vị trí của khối u, phương án phẫu thuật nội soi bóc nhân xơ sẽ là lựa chọn tối ưu. Đây là phương án điều trị xâm lấn tối thiểu giúp loại bỏ khối u một cách triệt để cũng như đảm bảo sức khỏe và khả năng hồi phục nhanh chóng cho người bệnh", ThS.BSCKII Nguyễn Văn Xuyên (Trưởng Đơn nguyên Phụ khoa và Tuyến vú - Khoa Sản Phụ khoa - BVĐK Hồng Ngọc Phúc Trường Minh) phân tích.
Trong quá trình thăm khám, chị Vân được các bác sĩ tư vấn kỹ lưỡng về từng phương án điều trị. Chia sẻ lý do chọn phương án phẫu thuật nội soi, chị Vân cho hay: "Bác sĩ Xuyên giải thích rất kỹ ưu - nhược điểm của mỗi cách, trấn an tôi rằng phẫu thuật nội soi bây giờ hiện đại, không đau nhiều mà vết mổ lại nhỏ, rất thẩm mỹ. Lúc đó tôi mới thật sự yên tâm để bước vào ca mổ".

Bác sĩ Xuyên cùng ê-kíp tiến hành phẫu thuật nội soi bóc u xơ tử cung.
Ca phẫu thuật diễn ra thuận lợi. Chỉ 12 tiếng sau khi trở về từ phòng hậu phẫu, chị Vân đã có thể tự đi lại nhẹ nhàng, ăn uống bình thường. "Sau 5 năm, cuối cùng tôi cũng đã tìm được đúng nơi để tin tưởng gửi gắm sức khỏe của mình. Ca mổ nhẹ nhàng hơn rất nhiều so với những gì tôi tưởng tượng. Tôi không thấy đau, cảm thấy rất thoải mái và nhẹ nhàng như trút bỏ được gánh nặng. Bác sĩ thăm khám hằng ngày còn điều dưỡng thì chăm sóc thường xuyên, tôi cần gì chỉ cần bấm nút gọi sẽ có người đến hỗ trợ ngay", chị chia sẻ.
U xơ tử cung: Căn bệnh lành tính nhưng không thể chủ quan
U xơ tử cung là bệnh lý phụ khoa phổ biến, đặc biệt ở phụ nữ trên 35 tuổi. Phần lớn là khối u lành tính, song nếu không được theo dõi và xử trí kịp thời, chúng có thể phát triển to, gây rối loạn kinh nguyệt, rong kinh, thiếu máu, chèn ép bàng quang, trực tràng, hoặc trong một số trường hợp có thể hoại tử, nhiễm trùng.
Hiện nay, có nhiều phương pháp điều trị u xơ tử cung tùy theo kích thước, vị trí khối u và mong muốn bảo tồn của người bệnh. Tuy nhiên, với những trường hợp khối u phát triển nhanh, gây đau, rong kinh hoặc chèn ép các cơ quan lân cận, phẫu thuật vẫn là giải pháp điều trị an toàn và triệt để nhất.
"Phẫu thuật nội soi được xem là bước tiến lớn của y học hiện đại khi giúp người bệnh giảm đau tối đa, hồi phục nhanh, ít xâm lấn và hầu như không để lại sẹo. Chính vì thế, ngày càng nhiều phụ nữ lựa chọn phương pháp này để chủ động điều trị, vừa đảm bảo sức khỏe, vừa gìn giữ sự tự tin và chất lượng cuộc sống", bác sĩ Xuyên cho hay.
Các bác sĩ khuyến cáo phụ nữ nên khám phụ khoa định kỳ hằng năm và nên đến ngay các cơ sở y tế uy tín khi có các dấu hiệu bất thường như đau vùng chậu, kinh nguyệt kéo dài, cảm giác tức nặng bụng dưới hoặc tiểu nhiều lần. "Việc phát hiện sớm các bệnh lý phụ khoa nguy hiểm giúp các bác sĩ đưa ra phương án điều trị hiệu quả và hỗ trợ chị em lên kế hoạch chăm sóc sóc sức khỏe, giảm nguy cơ biến chứng và bảo tồn tối đa chức năng sinh sản", bác sĩ Xuyên nói thêm.

Khám phụ khoa định kỳ giúp phát hiện sớm nhiều bệnh lý phụ khoa nguy hiểm.
Tại BVĐK Hồng Ngọc, chị em được tiếp cận dịch vụ khám - điều trị bệnh phụ khoa toàn diện với hệ thống thiết bị hiện đại và đội ngũ bác sĩ giàu kinh nghiệm, từ đó giúp phát hiện sớm, dự phòng hiệu quả và điều trị kịp thời.
Liên hệ hotline 0886 621 046 - 0886 468 306 để được tư vấn.