Lần đầu tiên tại Việt Nam: Nối thành công ngón tay bị đứt rời sau 25 giờ thiếu máu cho một thủy thủ
Một thủy thủ tàu viễn dương đã được các bác sĩ Bệnh viện Hữu nghị Việt Đức thực hiện vi phẫu nối thành công ngón tay bị đứt rời, dù thời gian thiếu máu kéo dài tới 25 giờ.
Trong quá trình tàu di chuyển qua vùng biển miền Trung đúng thời điểm bão số 12 đổ bộ, anh D. - thủy thủ kỹ thuật, gặp tai nạn khi đang sửa chữa thiết bị. Con tàu chao mạnh khiến bàn tay phải của anh va đập trực tiếp vào bộ phận kim loại, làm đứt rời hoàn toàn ngón trỏ. Tình huống xảy ra đột ngột trong điều kiện thời tiết nguy hiểm khiến toàn bộ thuyền viên hoảng hốt.
Ngay sau tai nạn, anh D. chủ động cầm máu, băng ép và bảo quản phần ngón tay đứt rời. Do bão lớn, tàu không thể cập bến khẩn cấp; lực lượng tìm kiếm cứu nạn quốc gia đã hỗ trợ đưa bệnh nhân vào bờ. Sau nhiều giờ vượt sóng, anh D. được tiếp cận cơ sở y tế gần nhất tại miền Trung để sơ cứu ban đầu.

Thời gian thiếu máu tiếp tục kéo dài do điều kiện di chuyển khó khăn. Gia đình và bệnh nhân bày tỏ mong muốn nối lại phần chi thể. Ngay khi thời tiết cho phép, anh được chuyển bằng chuyến bay sớm nhất từ Đà Nẵng ra Hà Nội để đến Bệnh viện Hữu nghị Việt Đức - đơn vị có chuyên môn cao về vi phẫu tạo hình. Tổng thời gian ngón tay bị thiếu máu đến lúc nhập viện lên đến 25 giờ.
Tại bệnh viện, các bác sĩ ghi nhận ngón tay đứt rời được bảo quản tốt, mô mềm còn nguyên vẹn – yếu tố thuận lợi dù thời gian thiếu máu rất dài. Bệnh viện đã lập tức hội chẩn các chuyên khoa: phẫu thuật tạo hình - thẩm mỹ, chấn thương chỉnh hình và gây mê hồi sức. Các chuyên gia đánh giá cơ hội thành công vẫn còn nếu thực hiện phẫu thuật kịp thời.
Ca mổ được tiến hành khẩn cấp. Ê-kíp phẫu thuật đã vi phẫu nối lại toàn bộ cấu trúc vi thể gồm động mạch, tĩnh mạch, thần kinh, gân gấp, gân duỗi và cố định xương. Do ngón tay thiếu máu lâu, việc tái lập dòng chảy là thách thức lớn nhất.

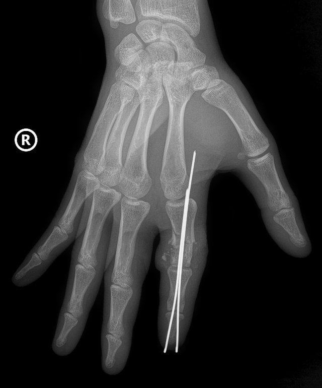
Mạch và thần kinh ngón tay anh D. được phục hồi
Sau nhiều giờ phẫu thuật, tuần hoàn ngón tay đã được khôi phục. Sau mổ, ngón tay hồng ấm trở lại – dấu hiệu cho thấy mô đang phục hồi tốt. Hiện sức khỏe anh D. ổn định, ngón tay được theo dõi tưới máu liên tục và diễn tiến khả quan.
Chia sẻ với truyền thông, TS.BS Vũ Trung Trực, Phó Trưởng khoa Phẫu thuật Hàm mặt, Tạo hình và thẩm mỹ, Bệnh viện Hữu nghị Việt Đức, người trực tiếp thực hiện ca phẫu thuật, cho biết: Đây là trường hợp cực kỳ đặc biệt. Trong những ca nối chi thể, thời gian thiếu máu kéo dài thường là rào cản rất lớn. Trước phẫu thuật, người bệnh và phần cơ thể đứt rời cần được đánh giá kỹ.
BS Trực cũng cho biết thêm, nhờ được bảo quản đúng cách ngay sau khi sự việc xảy ra mà khớp ngón tay của bệnh nhân không bị cứng. Cộng với việc, cấu trúc ngón tay (bao gồm: xương, da, dây thần kinh, mạch máu) có khả năng chịu thiếu máu tốt hơn so với phần chi thể có nhiều cơ nên phần ngón tay bị thiếu máu 25 giờ nhưng vẫn có thể được nối lại. Đồng thời, đội ngũ y bác sĩ giàu kinh nghiệm và sự phối hợp tốt giữa các chuyên khoa là thế mạnh của Bệnh viện. Đây chính là những điểm quyết định lớn đến thành công của ca phẫu thuật.
Sau phẫu thuật, vết thương của bệnh nhân đã liền, ngón tay hồng, sống hoàn toàn, người bệnh đã có thể cắt chỉ và rút kim cố định. Hiện, bệnh nhân đang được tập phục hồi chức năng để lấy lại khả năng vận động và cảm giác của ngón tay.
Sau phẫu thuật, vết thương của bệnh nhân đã liền, ngón tay hồng, sống hoàn toàn, người bệnh đã có thể cắt chỉ và rút kim cố định.
Sơ cứu đúng cách khi gặp tai nạn đứt rời chi
Các chuyên gia y tế khuyến cáo, tai nạn đứt rời ngón tay, bàn tay hay các phần cơ thể có thể xảy ra bất cứ lúc nào, vì vậy, người dân cần trang bị kiến thức sơ cứu đúng cách, vì đây là yếu tố quyết định khả năng cứu sống chi thể. Cụ thể:
Không rửa, không ngâm chi thể đứt rời vào bất kỳ dung dịch nào. Trong trường hợp phần đứt rời trong môi trường bẩn nhiều dị vật, có thể rửa dưới vòi nước sạch, tốt hơn là nước uống tinh khiết hoặc nước đun sôi để nguội.
Bọc phần chi thể bằng gạc/khăn sạch, cho vào túi nylon và buộc kín (tránh tiếp xúc trực tiếp với đá lạnh). Đặt túi đựng chi thể vào một túi khác có chứa đá lạnh.
Giữ phần chi thể trong môi trường sạch, ổn định nhiệt độ và vận chuyển nhanh nhất có thể. Đồng thời, đưa người bị nạn đến cơ sở y tế gần nhất để được xử trí và hướng dẫn tiếp theo.
Người dân không tự ý xử lý, không dùng thuốc, hóa chất sát trùng lên phần chi đứt rời
Việc trang bị kiến thức sơ cứu, bình tĩnh xử lý và bảo quản đúng ngay từ hiện trường giúp gia tăng đáng kể khả năng thành công của phẫu thuật, giúp phục hồi chức năng và thẩm mỹ, giảm nguy cơ tàn tật cho người bị tai nạn.
(T/h)

