Đưa con 5 tuổi đi khám, bé vừa há miệng ra đã khiến bác sĩ phải kinh ngạc
Tình trạng sâu răng nghiêm trọng của bé xuất phát từ một sai lầm của mẹ, mà sai lầm này rất nhiều bà mẹ cũng mắc phải.
Có người cho rằng, trẻ nhỏ không nhất thiết phải đánh răng nhiều lần trong ngày, bởi răng sữa sớm muộn cũng thay nên trẻ bị sâu răng cũng chẳng sao. Do đó, nhiều phụ huynh đã lơ là trong việc vệ sinh răng miệng của con.
Bác sĩ Ngô Nhĩ Khẳng, phó giám đốc nha khoa nhi, bệnh viện Hainan Stomatological Hospital (Trung Quốc), chỉ ra quan niệm không vệ sinh răng miệng cho trẻ nhỏ là sai lầm. Bởi vệ sinh răng miệng đúng cách sẽ giúp phòng ngừa sâu răng cho trẻ. Cha mẹ nên bắt đầu vệ sinh răng miệng cho bé ngay từ chiếc răng đầu tiên.
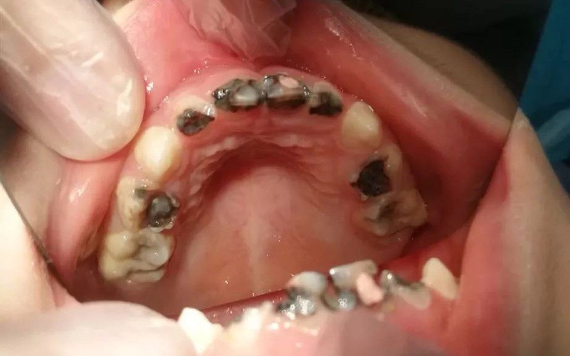
Bé 5 tuổi đã có 14 chiếc răng sâu
Mới đây, cô Trần sống tại Hải Khẩu, Trung Quốc đã dẫn con gái 5 tuổi tên là Tiểu Y đến bệnh viện khám. Khi đứa trẻ há miệng, bác sĩ vô cùng kinh ngạc khi thấy trong số 20 chiếc răng sữa thì có 14 chiếc răng đã bị sâu. Nhiều chiếc răng chỉ còn sót lại chân răng và cần phải tiến hành điều trị gấp.

Trong số 20 chiếc răng sữa thì có 14 chiếc răng đã bị sâu.
Tại sao đứa trẻ 5 tuổi như Tiểu Y bị sâu răng nhiều như thế? Cô Trần cho biết, trước và sau 2 tuổi Tiểu Y không có thói quen đánh răng, buổi tối bé không vệ sinh răng miệng mà đã lên giường ngủ. Không lâu sau, Tiểu Y bắt đầu bị sâu răng. Cô Trần cho rằng, đợi khi bé thay răng sữa thì mọi chuyện sẽ ổn. Nhưng theo thời gian, những chiếc răng sâu của Tiểu Y ngày càng nhiều, có đêm bé còn bị đau răng khi đang ngủ. Do đó, cô Trần đã vội đưa con đến bệnh viện khám.
Bác sĩ Ngô Nhĩ Khẳng phân tích, trẻ nhỏ bị sâu răng là hiện tượng khá phổ biến. Nguyên nhân là do thói quen vệ sinh răng miệng kém đồng thời ăn những thực phẩm không có lợi cho răng miệng. Hiện nay, nhiều trẻ nhỏ có thói quen bú đêm, ngậm sữa trong miệng khi đang ngủ. Ngoài ra, trẻ còn thích ăn kẹo, socola, bánh quy là những thực phẩm có hàm lượng đường và độ bám dính cao.
Sau khi trẻ uống sữa hoặc ăn thực phẩm chứa nhiều đường, nếu cha mẹ không kịp thời giúp trẻ vệ sinh răng miệng thì lượng đường sót lại trong kẽ răng sẽ ăn mòn răng, gây ra hiện tượng sâu răng. Bên cạnh đó, nhiều phụ huynh sai lầm khi nghĩ rằng răng sữa của trẻ sớm muộn cũng thay nên sâu răng cũng chẳng sao.
Thực tế, răng sữa bị hư sẽ làm gia tăng tốc độ bệnh sâu răng, phát triển thành bệnh nội nha, bệnh nha chu, thậm chí gây ra tình trạng rụng răng sớm, ảnh hưởng đến quá trình nhai, chức năng tiêu hóa và tác động xấu đến quá trình hình thành răng vĩnh viễn của trẻ. Cụ thể là răng sữa rụng sớm sẽ khiến răng vĩnh viễn mọc lên sai lệch về thời gian, trật tự và vị trí, xảy ra tình trạng răng vĩnh viễn mọc lên không đều tăm tắp mà xô lệch vào nhau.
Ngăn ngừa tình trạng sâu răng cho trẻ nhỏ như thế nào?
Bác sĩ Ngô Nhĩ Khẳng cho biết vệ sinh răng miệng sạch sẽ là biện pháp giúp ngăn ngừa bệnh sâu răng. Cha mẹ nên hướng dẫn trẻ tạo thói quen tốt vệ sinh răng miệng tùy theo độ tuổi.
Trẻ 6 tháng - 2 tuổi: Giai đoạn này trẻ thường xuyên bú khuya, có thói quen ngậm sữa trong miệng. Lời khuyên cho các bậc phụ huynh là sau khi bé uống sữa, nên cho bé uống nước lọc để làm sạch và rửa trôi sữa còn sót lại trong miệng bé.

Nên chăm sóc răng cho bé thường xuyên ngay khi con có những chiếc răng sữa đầu tiên (Ảnh minh họa).
Khi bé được 6 tháng tuổi, bé sẽ bắt đầu mọc chiếc răng đầu tiên, mẹ nên dùng gạc tiệt trùng hoặc miếng silicon bảo vệ đầu ngón tay chấm nước ấm hoặc nước muối để làm sạch niêm mạc khoang miệng và răng sữa của bé. Mẹ cũng có thể sử dụng loại kem đánh răng nuốt được an toàn cho bé dưới 3 tuổi, hàm lượng kem tương đương 1 hạt gạo nhỏ để làm sạch khoang miệng của trẻ.
Trẻ 3 - 4 tuổi: Trẻ dưới 6 tuổi có động tác tay chưa thuần thục và khéo léo nên chưa thể vệ sinh răng miệng sạch sẽ. Cha mẹ nên sử dụng bàn chải đánh răng cho bé hoặc bàn chải điện trẻ em giúp làm sạch răng miệng, đồng thời hướng dẫn trẻ thói quen tự làm sạch răng miệng. Thời gian đánh răng cho bé khoảng 3 phút sẽ phát huy công hiệu làm sạch răng hiệu quả, trẻ trên 3 tuổi có thể sử dụng kem đánh răng chứa fluoride kích cỡ bằng hạt đậu để giúp phòng ngừa sâu răng.
Trẻ từ 5 - 7 tuổi: Giai đoạn này răng sữa của bé dễ bị mắc kẹt thức ăn trong kẽ răng, đánh răng thông thường không thể làm sạch răng miệng nên cha mẹ cần hướng dẫn bé sử dụng thêm chỉ nha khoa để làm sạch răng.
Cuối cùng, cha mẹ cần nhớ, khoảng 6 tháng cần đưa trẻ đến bệnh viện kiểm tra răng miệng 1 lần để có phương pháp phòng ngừa và điều trị kịp thời.
